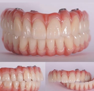
Os implantes dentários são a escolha ideal para substituir dentes perdidos de forma segura, funcional e permanente. Feitos de titânio, eles se integram ao osso da mandíbula, garantindo estabilidade e desempenho semelhante ao dos dentes naturais.
Implantes Dentários
Benefícios
✔ Estabilidade: Mastigação firme e confortável, como com dentes naturais.
✔ Durabilidade: Uma solução de longa vida útil com cuidados adequados.
✔ Estética Natural: Sorriso restaurado com harmonia e funcionalidade.
✔ Prevenção da perda óssea: Mantém a estrutura do maxilar saudável.
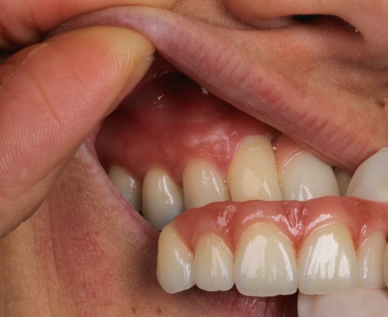
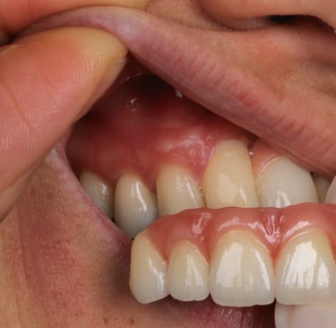
Mastigue Sem Medo e Sorria com Segurança. Implantes Dentários
para Você!
Diga adeus às dificuldades para mastigar, sorrir ou falar com segurança! Os implantes dentários devolvem a funcionalidade e a estética do seu sorriso com naturalidade e durabilidade incomparáveis.
✔ Rapidez e Precisão: Com anos de experiência, realizamos procedimentos com eficiência e segurança.
✔ Tecnologia Avançada: Com implante guiado, ozonioterapia e laserterapia, garantimos maior precisão, recuperação rápida e menos inflamações nos procedimentos.
✔ Sedação Assistida: Para pacientes com medo ou traumas, oferecemos a opção de realizar o procedimento com sedação segura, acompanhada por um médico especializado.
Nosso Diferencial em Cirurgias de Implantes










